Phone

Website

Email

Direction

Download

social share

Share

Save

Save

A Brighter Smile: How Scaling and Polishing Transformed Anita's Confidence

Share it on:

Contact Us

A Brighter Smile: How Scaling and Polishing Transformed Anita's Confidence

Published on December 16, 2024

In the bustling city of Mumbai, where life never seems to slow down, Anita Rao seemed to have it all

In the bustling city of Mumbai, where life never seems to slow down, Anita Rao seemed to have it all. A successful career in marketing, a supportive family, and a wide circle of friends. Yet, beneath her radiant persona, Anita harbored a secret insecurity—a fear of showing her teeth when she smiled.

Anita's story is not unique. Many individuals, like her, suffer silently due to dental issues that erode their confidence. For Anita, it was the persistent problem of plaque buildup and stained teeth. Despite her diligent oral hygiene routine, Anita found herself increasingly self-conscious about her less-than-perfect smile.

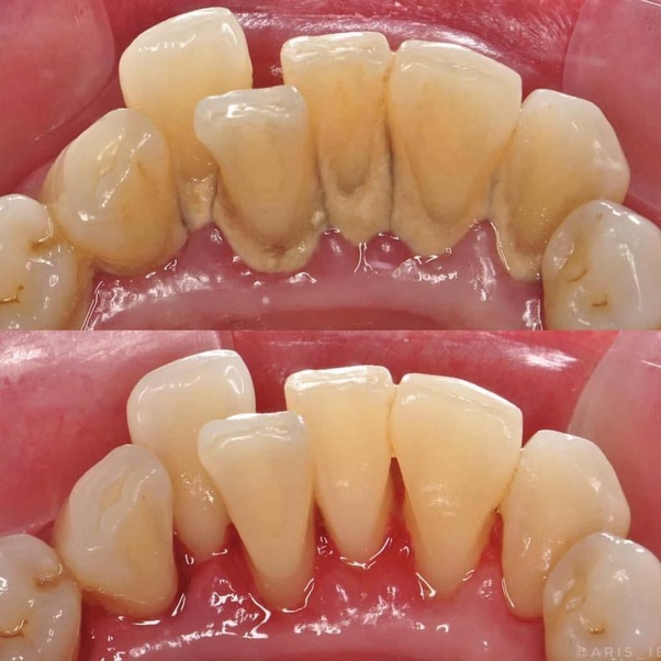
Enter the world of dental scaling and polishing, a solution that promises not just cleaner teeth, but a renewed sense of self-assurance. Scaling and polishing is a procedure that addresses two major oral health concerns—removal of plaque and calculus and the elimination of surface stains. While brushing and flossing are crucial, they often fall short in removing stubborn deposits that can lead to periodontal disease and tarnish the natural shine of teeth.

Anita first heard about scaling and polishing from her colleague, Rajesh, who had undergone the procedure a few months prior. Rajesh, once shy about his teeth due to years of coffee stains, now confidently led presentations and social gatherings with a bright smile. Inspired, Anita decided to give it a try.

The experience was transformative. The dentist explained that the process involved two key steps scaling, which removes tartar and plaque from the teeth and below the gumline, and polishing, which smoothens the tooth surfaces and eliminates minor stains. The procedure was quick, painless, and left Anita feeling as if a weight had been lifted off her shoulders.

The emotional impact was profound. Anita found herself smiling more often, no longer hesitant to show her teeth in photographs or during conversations. Her personal and professional interactions improved significantly, as she radiated a newfound confidence. "I didn't realize how much my smile affected how I felt about myself," Anita shared. "Now, I feel like a different person."

Anita's journey is a testament to the power of addressing oral health issues that many people overlook. The practical benefits of scaling and polishing are clear—healthier gums, fresher breath, and a cleaner mouth. However, the emotional benefits, such as boosted self-esteem and improved social interactions, are equally important.

For those like Anita, the fear of judgment due to dental imperfections can lead to unnecessary emotional distress. Scaling and polishing offer a practical solution to this problem, ensuring that individuals can present their best selves to the world without hesitation.

Moreover, studies have shown that regular dental cleanings can prevent more serious health issues. According to research published in the Journal of Dental Research, individuals who regularly undergo scaling and polishing have a lower risk of developing periodontal disease, which can lead to tooth loss and has been linked to heart disease and diabetes.

In today's image-conscious society, where first impressions matter, having a healthy and attractive smile is invaluable. Scaling and polishing not only enhance oral health but also provide a sense of empowerment through improved appearance and confidence.

Anita's story is a reminder that sometimes, the smallest steps can lead to the most significant changes. For anyone feeling trapped by dental woes, scaling and polishing might just be the key to unlocking a brighter smile and a more confident future.

So, why hold back your smile any longer? Discover the benefits of scaling and polishing, and let your confidence shine through, just like Anita did. It's time to take charge of your oral health and embrace the best version of yourself.

Visit Vyaparify Site: https://h-id.vyaparify.com/modern-oral-and-dental-clinic

Location: https://www.google.com/maps/place/VILLAGE+BIKRAMGANJDUMRAON+ROADBIKRAMGANJ+ROHTAS+BIHAR+NEAR+TENDUNI+CHOWAK+BIKRAMGANJ/@25.2214162,84.2639954,17z

Share it on:

Contact Us

back-to-top

Share