Phone

Website

Email

Direction

Download

social share

Share

Save

Save

Revitalize Your Smile: How Scaling and Polishing Transformed Priya’s Confidence

Share it on:

Contact Us

Revitalize Your Smile: How Scaling and Polishing Transformed Priya’s Confidence

Published on January 19, 2025

In the bustling city of Mumbai, amidst the cacophony of daily life, Priya Sharma, a 29-year-old marketing professional, found herself at a crossroads

In the bustling city of Mumbai, amidst the cacophony of daily life, Priya Sharma, a 29-year-old marketing professional, found herself at a crossroads. Her career was flourishing, but there was a lingering shadow over her confidence—her smile. Years of coffee breaks and the occasional negligence of dental appointments had taken a toll on her once vibrant teeth. They were now dulled and stained, making her self-conscious in social and professional settings.

Priya had always been the kind of person who wore her smile like a badge of honor. It was the first thing people noticed about her, the warmth that drew friends and clients alike. But over time, as her teeth began to lose their luster, she found herself smiling less, avoiding photographs, and even hesitating during important presentations. It seemed like a small issue, but it was impacting her life in ways she hadn't anticipated.

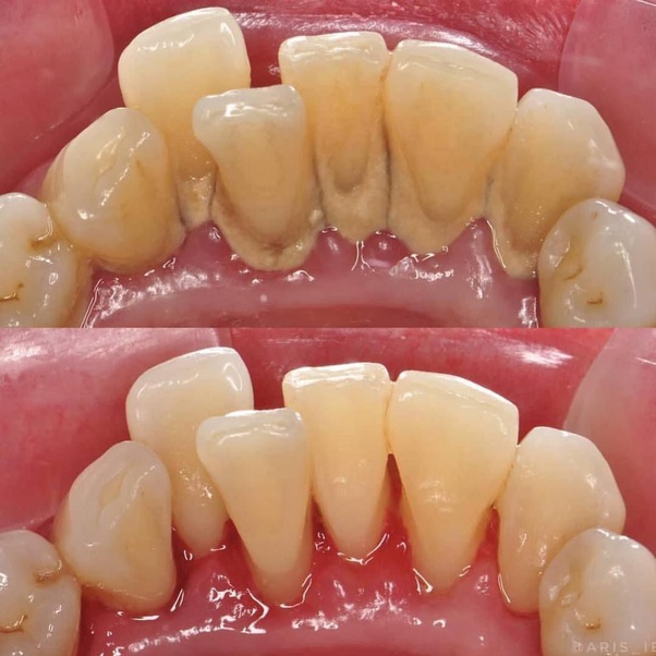
Her turning point came during a routine visit to her dentist, Dr. Mehta. He suggested a simple yet effective solution scaling and polishing. Priya was intrigued. She had heard about these procedures but never really understood their impact. Dr. Mehta explained that scaling and polishing are essential dental procedures designed to remove tartar, plaque, and stains from teeth, leaving them clean and smooth.

Determined to reclaim her smile, Priya scheduled an appointment. The procedure was straightforward, involving a thorough cleaning of her teeth to remove all the unwanted buildup. It was painless, and the results were immediate. As Priya looked in the mirror, she couldn’t believe her eyes. Her teeth were gleaming, and she felt a sense of rejuvenation she hadn’t thought possible.

The transformation wasn’t just physical—it was emotional. Priya felt her confidence surge. She began smiling freely in meetings, engaging more openly with colleagues, and even took the plunge to post candid photos on her social media, something she hadn’t done in years. The positive feedback was overwhelming; her friends and family noticed the change not just in her smile, but in her demeanor.

Priya’s story is not unique. Many people face similar challenges, often underestimating the profound impact dental health can have on overall well-being. Scaling and polishing might seem like minor procedures, but their benefits extend far beyond aesthetics. They are pivotal in maintaining oral hygiene, preventing gum disease, and most importantly, restoring confidence.

In India, where social interactions are key to both personal and professional success, having a radiant smile can make all the difference. The cumulative stress of urban life often leads to neglect of dental health, but as Priya’s story illustrates, it’s never too late to make a change.

For those like Priya, who struggle with the embarrassment of stained or dull teeth, scaling and polishing offer a practical solution that is both accessible and effective. The procedures are non-invasive, affordable, and can often be completed in a single sitting, making them an ideal choice for busy professionals.

Priya's renewed confidence is a testament to the power of a healthy smile. It’s a reminder that sometimes, all it takes is a small step to make a big change. So, if you find yourself hesitating to smile, remember Priya’s journey and consider scaling and polishing as a pathway to rediscovering your own radiant smile.

In a world where first impressions matter, let your smile be your strongest ally. Whether you're gearing up for a big presentation, a family wedding, or simply want to feel good about yourself, scaling and polishing could be the key to unlocking your true potential.



Priya’s experience serves as an inspiration for anyone looking to revitalize their oral health and regain their confidence. Don’t let the fear of dull teeth hold you back. Take the leap and explore the benefits of scaling and polishing today. Your path to a brighter, more confident smile awaits.

Visit Vyaparify Site: https://id.vyaparify.com/modern-oral-and-dental-clinic

Location: https://www.google.com/maps/place/VILLAGE+BIKRAMGANJDUMRAON+ROADBIKRAMGANJ+ROHTAS+BIHAR+NEAR+TENDUNI+CHOWAK+BIKRAMGANJ/@25.2214162,84.2639954,17z

Revitalize Your Smile: How Scaling and Polishing Transformed

Revitalize Your Smile: How Scaling and Polishing Transformed

Share it on:

Contact Us

back-to-top

Share