Phone

Website

Email

Direction

Download

social share

Share

Save

Save

Revitalize Your Smile: The Transformative Power of Scaling and Polishing

Share it on:

Contact Us

Revitalize Your Smile: The Transformative Power of Scaling and Polishing

Published on May 19, 2025

In the bustling streets of Mumbai, amidst the symphony of car horns and the aroma of street-side vada pav, lives a young professional named Ananya

In the bustling streets of Mumbai, amidst the symphony of car horns and the aroma of street-side vada pav, lives a young professional named Ananya. A dedicated marketing executive, Ananya is the epitome of confidence and charisma, but beneath her vibrant persona lies a silent struggle that many of us can relate to – her dental health.

Ananya has always been conscious of her smile. From a young age, she was taught the importance of dental hygiene, but over time, her busy schedule often left little room for consistent dental care. Late nights at the office and early morning meetings took precedence over regular dentist visits. As a result, she began to notice the gradual build-up of plaque and tartar, leading to stained teeth and a less-than-perfect smile.

For Ananya, the issue was more than just physical; it was emotional. Her smile, once a source of pride, became a source of insecurity. She avoided smiling in photos and felt self-conscious during presentations. It was clear that Ananya needed a solution that would not only address her dental concerns but also restore her confidence.

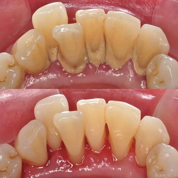
Enter the transformative power of scaling and polishing. This dental procedure, often overlooked, is a simple yet effective way to rejuvenate your smile. Scaling involves the removal of plaque and tartar from the teeth and beneath the gums, while polishing smooths and shines the teeth, giving them a cleaner, brighter appearance.

For Ananya, the decision to undergo scaling and polishing was a turning point. Referred by a colleague to a local dental clinic, she was initially apprehensive. However, the skilled hands of Dr. Arjun, a renowned dentist known for his gentle approach and exceptional results, quickly put her at ease. With state-of-the-art equipment and a keen eye for detail, Dr. Arjun meticulously worked on Ananya's teeth, transforming them from dull and stained to sparkling and pristine.

The results were nothing short of astounding. Ananya's smile was restored to its former glory, and with it, her confidence. She no longer hesitated to flash her pearly whites in meetings, and her newfound self-assurance translated into her professional life, leading to a promotion shortly after her dental procedure.

Ananya's story is a testament to the profound impact that scaling and polishing can have on one's life. It's not just about aesthetics; it's about reclaiming your confidence and embracing the power of a healthy smile. This procedure is particularly beneficial for those living in urban areas of India, where pollution and lifestyle factors contribute to increased dental issues.

Moreover, scaling and polishing are crucial for maintaining overall oral health. Regular treatments can prevent gum disease, reduce bad breath, and minimize the risk of cavities. It's a preventive measure that pays dividends in the long run, ensuring that your teeth remain healthy and strong.

In a country where oral health is often neglected, the significance of scaling and polishing cannot be overstated. It offers a practical solution to common dental problems while simultaneously addressing the emotional aspect of self-confidence and personal well-being.

For individuals like Ananya, who strive for excellence in all aspects of life, taking the time to care for their dental health is an investment in themselves. It’s a commitment to not only looking good but feeling good, knowing that their smile is a reflection of their inner strength and determination.

So, whether you're in the heart of Mumbai, the bustling streets of Delhi, or the serene landscapes of Kerala, consider the benefits of scaling and polishing. Let it be the first step towards a brighter smile and a more confident you. Rediscover the joy of smiling without reservation and embrace the positive changes that come with it. After all, a radiant smile is the universal language of kindness and confidence.

Visit Vyaparify Site: https://h-id.vyaparify.com/modern-oral-and-dental-clinic

Location: https://www.google.com/maps/place/VILLAGE+BIKRAMGANJDUMRAON+ROADBIKRAMGANJ+ROHTAS+BIHAR+NEAR+TENDUNI+CHOWAK+BIKRAMGANJ/@25.2214162,84.2639954,17z

Share it on:

Contact Us

back-to-top

Share