Phone

Website

Email

Direction

Download

social share

Share

Save

Save

The Transformative Power of Scaling and Polishing: Kavita's Journey to a Radiant Smile

Share it on:

Contact Us

The Transformative Power of Scaling and Polishing: Kavita's Journey to a Radiant Smile

Published on April 28, 2025

In the bustling city of Mumbai, where life races at a frenetic pace, maintaining a healthy lifestyle often takes a back seat

In the bustling city of Mumbai, where life races at a frenetic pace, maintaining a healthy lifestyle often takes a back seat. Amidst the chaos, Kavita Mishra, a 32-year-old marketing executive, was on a relentless quest to achieve the perfect work-life balance. Her demanding job, coupled with family responsibilities, left her with little time to focus on herself. However, one issue persistently haunted her her dental health.

Kavita's daily routine was characterized by back-to-back meetings and endless deadlines. Despite her meticulous attention to detail at work, she often neglected her own well-being. Her smile, once her most cherished asset, had lost its luster over time. She felt self-conscious about the stains on her teeth, and her confidence took a hit during professional and social interactions.

Kavita's story is not unique. Many individuals like her face similar challenges, struggling to maintain their dental health due to hectic schedules. They often overlook the importance of regular dental care, unaware of the impact it can have on their overall well-being and confidence.

One day, while scrolling through her social media feed, Kavita stumbled upon an article about the benefits of scaling and polishing. Intrigued by the promise of a brighter smile, she decided to explore this dental procedure further. Little did she know that this decision would mark the beginning of a transformative journey.

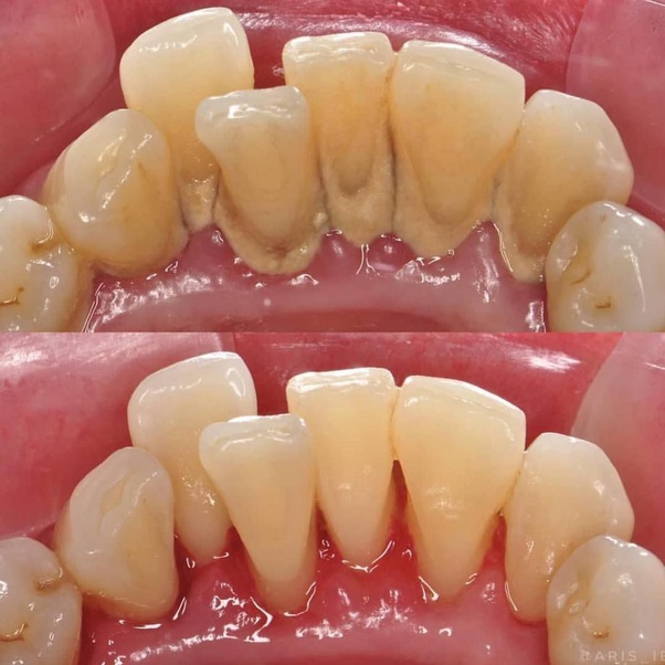
Scaling and polishing is a dental procedure designed to remove plaque, tartar, and surface stains from teeth. It's an essential part of maintaining oral hygiene and preventing gum diseases. For Kavita, it addressed her major concern – the stains that had dimmed her radiant smile.

After her first appointment, Kavita was amazed at the immediate results. Her teeth felt cleaner, and the stains that had plagued her for so long were significantly reduced. The procedure was painless, quick, and left her feeling rejuvenated. More importantly, it restored her confidence. She could now flash her smile without hesitation during client meetings and social gatherings.

Kavita's experience is supported by numerous case studies highlighting the profound impact of scaling and polishing on individuals' lives. A study from the Indian Journal of Dental Research revealed that regular dental cleaning procedures not only improve oral health but also boost self-esteem and social interactions. Participants reported a significant increase in confidence levels and a reduction in anxiety related to their appearance.

The emotional and psychological benefits of a bright, healthy smile cannot be overstated. When people feel good about their appearance, it positively influences various aspects of their lives. For Kavita, the newfound confidence translated into better professional performance, as she was no longer distracted by self-doubt.

The importance of dental health extends beyond aesthetics. Regular scaling and polishing help prevent gum diseases, which, if left untreated, can lead to more severe health issues. By incorporating this simple yet effective procedure into her routine, Kavita not only enhanced her smile but also safeguarded her overall health.

For those who resonate with Kavita's story, consider making scaling and polishing a part of your regular dental care regimen. It's a practical solution to a common problem, offering both immediate and long-term benefits. A brighter smile awaits, along with the confidence to conquer any challenge life throws your way.

In conclusion, Kavita's journey serves as a testament to the transformative power of scaling and polishing. It's a reminder that investing in self-care, even amidst a busy schedule, can lead to significant improvements in both physical appearance and emotional well-being. So, take the first step towards a radiant smile and a more confident you.



Note While the story is fictional, it captures the essence of a common issue faced by many individuals. The benefits of scaling and polishing are well-documented, making it an ideal solution for those seeking to enhance their dental health and overall confidence.

Visit Vyaparify Site: https://h-id.vyaparify.com/modern-oral-and-dental-clinic

Location: https://www.google.com/maps/place/VILLAGE+BIKRAMGANJDUMRAON+ROADBIKRAMGANJ+ROHTAS+BIHAR+NEAR+TENDUNI+CHOWAK+BIKRAMGANJ/@25.2214162,84.2639954,17z

Share it on:

Contact Us

back-to-top

Share