Phone

Website

Email

Direction

Download

social share

Share

Save

Save

Transform Your Smile: The Journey of Rhea’s Radiant Confidence

Share it on:

Contact Us

Transform Your Smile: The Journey of Rhea’s Radiant Confidence

Published on February 13, 2025

In the bustling city of Mumbai, where every smile tells a story, Rhea Patel found herself hiding hers

In the bustling city of Mumbai, where every smile tells a story, Rhea Patel found herself hiding hers. Despite her vibrant personality, she was often self-conscious about the appearance of her teeth. Stains from her daily chai and the city’s pollution had taken a toll, leaving her once-pearly whites dull and lackluster. For Rhea, this wasn’t just about aesthetics; it was a constant, nagging insecurity that affected her confidence in both personal and professional settings.

Rhea’s story is not unique. Many people in urban India face similar challenges, where lifestyle and environmental factors contribute to dental issues. Stains, plaque, and tartar buildup are common problems that can affect anyone, regardless of how meticulous they are about their oral hygiene routine. These issues can lead to more serious dental problems if not addressed promptly. This is where the transformative power of scaling and polishing comes into play, offering a practical solution with emotional benefits.

One day, while sipping coffee with her friend Priya, Rhea received a suggestion that would change her life. Priya had recently visited a local dental clinic for a scaling and polishing treatment and couldn’t stop raving about the results. Her teeth looked noticeably whiter, and her confidence was palpable. Intrigued and encouraged by her friend's experience, Rhea decided it was time to take charge of her dental health and booked an appointment for herself.

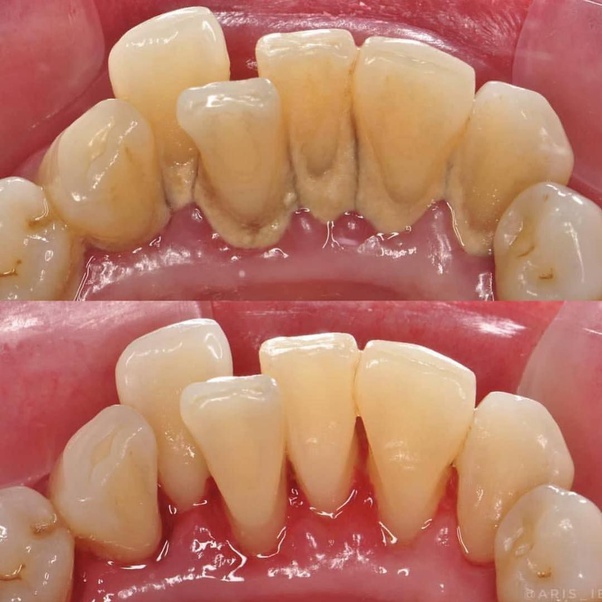
The process of scaling and polishing is straightforward yet highly effective. Scaling involves removing tartar and plaque from the tooth surfaces and beneath the gums, while polishing smoothens and shines the teeth, removing stains and making it harder for plaque to accumulate. This simple procedure is often underestimated, but its impact can be profound.

When Rhea walked into the clinic, she was greeted with warmth and professionalism. The dental hygienist explained the procedure in detail, easing her anxiety. As she reclined in the chair, Rhea felt a mix of anticipation and hope. The treatment was painless and surprisingly quick. Within an hour, Rhea was out of the chair and standing in front of a mirror, stunned by the transformation. Her teeth gleamed, free from the stains that had clouded her confidence for so long.

The change wasn’t just physical; it was emotional. Rhea felt a surge of self-assurance that she hadn’t experienced in years. She began to smile more openly, her laughter more frequent and uninhibited. At work, she noticed a difference in how she engaged with colleagues and clients, no longer shying away from conversations. Her newfound confidence even spilled over into her social life, where she was more willing to meet new people and engage in social activities.

Rhea’s journey didn’t stop at just one treatment. She became more diligent about her oral hygiene, incorporating regular scaling and polishing into her dental care routine. By maintaining this regimen, she ensured that her teeth remained healthy and her smile radiant.

Rhea’s story is a testament to the power of a simple dental procedure to change lives. Scaling and polishing offer a practical solution to a common problem, with the added benefit of boosting confidence and improving quality of life. For anyone facing similar challenges, taking that first step towards a brighter smile can be daunting, but the rewards are undeniably worth it.

In a world where first impressions matter, a confident smile can be your greatest asset. Whether you’re giving a presentation, attending a social event, or simply greeting someone new, your smile speaks volumes. So why not let it tell the best story possible?

For those like Rhea, scaling and polishing are more than just a dental treatment—they’re a gateway to newfound confidence and self-assurance. If you find yourself hiding your smile, consider taking the step to transform it. After all, as Rhea discovered, a brighter smile can lead to a brighter you.

Visit Vyaparify Site: https://h-id.vyaparify.com/modern-oral-and-dental-clinic

Location: https://www.google.com/maps/place/VILLAGE+BIKRAMGANJDUMRAON+ROADBIKRAMGANJ+ROHTAS+BIHAR+NEAR+TENDUNI+CHOWAK+BIKRAMGANJ/@25.2214162,84.2639954,17z

Share it on:

Contact Us

back-to-top

Share