Phone

Website

Email

Direction

Download

social share

Share

Save

Save

Transforming Smiles: How Scaling and Polishing Revolutionized Anjali's Confidence

Share it on:

Contact Us

Transforming Smiles: How Scaling and Polishing Revolutionized Anjali's Confidence

Published on April 22, 2025

In the bustling city of Pune, where life moves at a frenetic pace, Anjali, a young marketing professional, found herself at a crossroads

In the bustling city of Pune, where life moves at a frenetic pace, Anjali, a young marketing professional, found herself at a crossroads. On the surface, she was thriving—her career was on an upward trajectory, and she was surrounded by friends and family. Yet, beneath her confident exterior, Anjali grappled with a lingering insecurity that affected her self-esteem her smile.

For years, Anjali had been self-conscious about the discoloration and plaque buildup on her teeth. Despite regular brushing, her teeth never quite looked as bright as she wanted. This insecurity was more than just an aesthetic concern; it impacted her interactions with clients and colleagues, making her hesitant to smile freely. The emotional weight of this insecurity was something Anjali carried with her every day.

Anjali's story is not unique. Many people, like her, face similar challenges with oral hygiene that affect their confidence and social interactions. It's a problem that scaling and polishing—a dental service offered by many modern clinics—can effectively address.

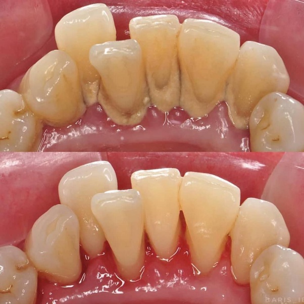
Scaling and polishing is a professional dental cleaning procedure that removes plaque, tartar, and surface stains from the teeth. It's a simple yet powerful solution for anyone looking to improve their oral health and aesthetics. For Anjali, this procedure was nothing short of transformative.

One afternoon, after a particularly challenging meeting where Anjali found herself covering her mouth while speaking, she decided it was time for a change. Encouraged by a colleague, she booked an appointment at a reputable clinic in Pune for a scaling and polishing session.

At the clinic, Dr. Rajesh, an experienced dentist, explained the procedure to Anjali. He reassured her that the process was safe, painless, and would significantly enhance her smile. The session was straightforward Dr. Rajesh used specialized tools to remove the built-up tartar and polish the surface of Anjali's teeth, leaving them cleaner and brighter.

The results were immediate and remarkable. Anjali's teeth felt smoother, looked whiter, and the chronic bad breath she had been dealing with was significantly reduced. The transformation wasn't just physical; it was emotional. Anjali felt a renewed sense of confidence, and this newfound self-assurance reflected in her work and personal life. She no longer hesitated to smile during presentations or laugh openly with friends.

Anjali's experience highlights the profound impact that dental care can have on one's life. Scaling and polishing not only improved her oral health but also her overall quality of life. For those dealing with similar insecurities, this procedure offers a practical solution that goes beyond aesthetics—it addresses the emotional burden of self-consciousness.

Moreover, regular scaling and polishing are crucial for maintaining oral hygiene. By removing plaque and tartar, the risk of gum disease and cavities is significantly reduced, ensuring long-term dental health. It's an investment in not just a brighter smile, but also a healthier future.

In conclusion, Anjali's journey is a testament to the power of a simple dental procedure that can transform lives. Scaling and polishing is more than just a cleaning; it's a gateway to confidence, improved social interactions, and enhanced well-being. For anyone in Pune or elsewhere facing similar challenges, this service offers a path to rediscovering the joy of smiling without reservation.

So, if you find yourself covering your mouth when you smile or avoiding photographs because of discolored teeth, consider taking a page from Anjali's book. A visit to your local dental clinic for a scaling and polishing session could be the first step towards a brighter, more confident you.

Visit Vyaparify Site: https://h-id.vyaparify.com/modern-oral-and-dental-clinic

Location: https://www.google.com/maps/place/VILLAGE+BIKRAMGANJDUMRAON+ROADBIKRAMGANJ+ROHTAS+BIHAR+NEAR+TENDUNI+CHOWAK+BIKRAMGANJ/@25.2214162,84.2639954,17z

Share it on:

Contact Us

back-to-top

Share